Spinalkanalstenose

Verschleißerscheinungen an der Wirbelsäule stimulieren die Selbstheilungskräfte in unserem Körper. Der Körper reagiert mit dem Anbau von Knochengewebe, welches die Wirbel untereinander stützen und stabilisieren soll. Häufig führen diese Knochenanbauten zu einer Arthrose der Facettengelenke sowie Verengungen des Spinalkanals und der Nervenöffnungen (Foramina). Die Folge sind starke Rückenschmerzen (Lumbago), Bewegungseinschränkungen und ausstrahlende Schmerzen ( Lumbo-Ischialgie), welche unter Umständen zu Lähmungserscheinungen führen können. Man spricht – wie bei der durch gefäßbedingte Durchblutungsstörungen verursachten «Schaufensterkrankheit» – von einer «Claudicatio spinalis». 

Dekompression (Entlastung des Spinalkanals)
Liegen neurologische Ausfallserscheinungen vor, z.B. Lähmungen, Schmerzen, Missempfindungen oder Einschränkungen der Gehstrecke, sollte eine operative Entlastung des Spinalkanals (Dekompression) erfolgen. Bei diesem Eingriff kann es erforderlich sein, je nach Intensität der Knochenanbauten, diese zu entfernen. Die Entfernung dieser Knochenanbauten kann zu einer Instabilität der betroffenen Wirbelsegmente führen. Liegt eine Instabilität vor, sollte diese stabilisiert werden. Eine Stabilisierung kann durch starre innere Abstützvorrichtungen ( fixateur interne) vorgenommen werden, was jedoch das Auftreten von Anschlusserkrankungen beschleunigen kann, oder durch dynamische Fixationssysteme erfolgen (z.B. Dynesis, CoFlex, DSS, Spine-shape). Der Vorteil einer dynamischen Stabilisierung liegt in der Erhaltung oder Wiederherstellung der Beweglichkeit und Funktion der Wirbelsäule. 

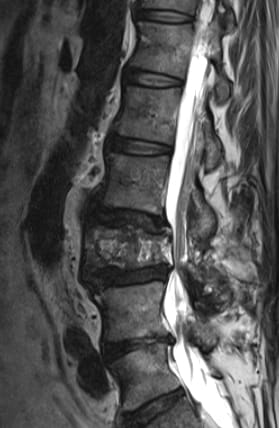
Stenose des Spinalkanals durch Destruktion des 3. Lendenwirbels (Morbus Paget) und Bandscheibenprotrusion L4/5. Zusätzliche Einengung des Spinalkanals durch knöcherne Anbauten an den Wirbelbögen und Gelenkfacetten.