Vertebral instability - spondylolisthesis - scoliosis

Instability – Spondylolisthesis – Pseudo-spondylolisthesis – Scoliosis
Instability in a vertebral segment can either be acquired through disc degeneration or congenital. The loss of function in the affected segment leads to muscular imbalances, allowing the adjacent vertebrae to shift, a condition known as pseudospondylolisthesis. However, if there is a congenital vertebral arch gap and two vertebrae shift against each other as a result, this is referred to as true vertebral slippage, or spondylolisthesis. Often, the upper vertebra located towards the head shifts forward towards the abdomen, while the lower vertebra remains in position. If the vertebrae shift sideways relative to each other, this is referred to as scoliosis. This can also be congenital and, as idiopathic scoliosis in children or adolescents, presents a specific clinical picture. Degenerative scoliosis is a consequence of disc disease and only occurs secondarily in adulthood. Excessive mobility of the vertebral segments can cause severe pain. On the one hand, the intervertebral discs are worn down by the intense friction, and on the other hand, the nerve tissue in the spinal canal is exposed to pressure and tensile stress, which can also damage the spinal cord or spinal nerves and cause muscle weakness in addition to pain. Depending on the degree of displacement and the patient's symptoms, conservative treatment with muscle training and pain medication or surgical stabilisation may be considered. This should always include reconstruction and stabilisation of the vertebral joints from behind, as well as stabilisation from the front by replacing the diseased disc. Recent clinical studies have shown that dynamic stabilisation of the affected vertebral segment is a sensible alternative to rigid fusion.

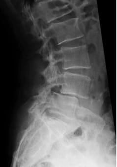
Spondylolisthesis = vertebral slippage between the 4th and 5th lumbar vertebrae, reconstruction and dynamic stabilisation with viscoelastic disc prosthesis and dynamic fixator
Scoliosis of the lumbar spine, dynamic correction with a cage and two viscoelastic disc prostheses. Even three years after the operation (right image), the spinal axis remains in ideal condition.
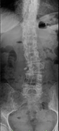
Torsional scoliosis of the lumbar spine measuring 40° (left image) Dynamic corrective spondylodesis with flexible carbon fixator (right image)

References

Bertagnolli, R. (2011) Hybrid procedures, in: Bertagnolli, R. et al. (eds), Motion-preserving spinal surgery, Urban&Fischer, Munich

Rischke, B. (2013), in: Viscoelastic Lumbar Total Disc Replacement in the Treatment of Spondylolisthesis and Degenerative Scoliosis